Unveiling Mantle Cell Lymphoma: A Comprehensive Hematological Perspective

8/27/2025 | Blogger World
IKLAN ATAS ARTIKEL
DAFTAR ISI

    mcl hematology


    Mantle cell lymphoma (MCL) presents as a relatively uncommon, yet aggressive, non-Hodgkin lymphoma (NHL) that necessitates specialized hematological understanding. The disease, originating in the mantle zone of lymph nodes, involves the uncontrolled proliferation of B-cells, frequently leading to complex clinical presentations. Comprehending the nuances of MCL requires a deep dive into hematology, the branch of medicine concerned with the study of blood, blood-forming organs, and blood diseases.

    The etiology of MCL, although not completely elucidated, involves genetic translocations, primarily the t(11;14)(q13;q32) translocation, which results in overexpression of cyclin D1. This genetic aberration leads to dysregulation of the cell cycle, fueling the relentless expansion of malignant cells, which makes the study of MCL, at a cellular level, quite fascinating. This is often the starting point for the initial diagnosis of this form of lymphoma.

    The Diagnostic Process: A Hematological Investigation

    Diagnosing MCL often commences with a comprehensive physical examination, including palpation for enlarged lymph nodes, which can often be present in the neck, armpits, or groin. Blood tests, including a complete blood count (CBC) and differential, are critical to assess overall health and detect any abnormalities in blood cell counts, such as an elevated white blood cell count or anemia, that suggest lymphoma, or other issues.

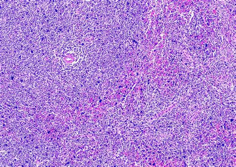
    Lymph node biopsies are the cornerstone of diagnosis, typically involving the removal of a portion or the entirety of an affected lymph node for microscopic examination. Immunohistochemical staining is essential for confirming the diagnosis and differentiating MCL from other lymphoma subtypes. As stated by an organization of hematologists, "Immunophenotyping, using flow cytometry, further characterizes the lymphoma cells based on their surface markers."

    Advanced Diagnostic Techniques

    Additional diagnostic modalities, such as bone marrow aspiration and biopsy, are frequently employed to assess disease involvement in the bone marrow. Cytogenetic and molecular analyses, including fluorescence in situ hybridization (FISH), are employed to identify the t(11;14) translocation and other chromosomal aberrations, thus refining diagnostic precision, often clarifying clinical treatment protocols. These advanced techniques provide valuable prognostic information, assisting in treatment planning.

    Treatment Strategies: Navigating the Therapeutic Landscape

    The treatment of MCL is multifaceted, and dependent upon factors like disease stage, patient age, and overall health. Treatment approaches are tailored to each individual's specific needs and disease characteristics, ensuring the most beneficial outcomes. The therapeutic landscape of MCL has advanced significantly in the past few decades, offering hope for improved survival rates.

    Chemotherapy regimens, frequently incorporating combinations of drugs like cyclophosphamide, doxorubicin, vincristine, and prednisone (CHOP), form the backbone of MCL treatment. In selected patients, high-dose chemotherapy followed by autologous stem cell transplantation has demonstrated improved outcomes. The evolution of treatment options has revolutionized the prospects of those fighting this affliction.

    Emerging Therapies and Targeted Approaches

    Targeted therapies, such as Bruton tyrosine kinase (BTK) inhibitors (e.g., ibrutinib, acalabrutinib, zanubrutinib), have revolutionized the treatment landscape, yielding promising results for both initial and relapsed/refractory disease. These drugs selectively block the BTK enzyme, a critical component in the B-cell receptor signaling pathway, thereby inhibiting lymphoma cell proliferation. A meta-analysis has suggested that these drugs significantly increase progression-free survival and overall survival. These advancements have changed the treatment of lymphoma for the better.

    Immunotherapies, including chimeric antigen receptor (CAR) T-cell therapy, are also gaining traction in the management of relapsed/refractory MCL. CAR T-cell therapy involves engineering a patient's own T-cells to recognize and eliminate cancer cells, offering a highly personalized and potent treatment option. The increasing focus on targeted therapies and immunotherapies highlights the ongoing quest to find less-toxic yet more effective treatments for MCL, promising better results for patients.

    Prognosis and Ongoing Research

    The prognosis for MCL varies significantly depending on several factors, including the patient's age, stage of disease, and response to treatment. Some individuals may experience long-term remission, while others may experience relapses. Research in the field continues to yield vital insights.

    Ongoing research efforts concentrate on identifying novel therapeutic targets, refining existing treatment strategies, and developing early detection methods. Clinical trials are actively exploring novel combinations of drugs and therapeutic approaches to improve patient outcomes. As a research journal has noted, “The development of prognostic biomarkers and personalized treatment approaches are crucial for improving outcomes.” The continued progress, fueled by dedication and research, is essential for combating MCL more effectively, bringing promise of hope to those diagnosed with this complex disorder.

    IKLAN BAWAH ARTIKEL

    Komentar